전화 상담 042-671-2875
잇몸교정

잇몸교정

배경

Dr.Son

엠치과 맞춤형 잇몸라인 교정

엠치과 잇몸성형은 웃을 때 잇몸이 과도하게 드러나거나, 잇몸 라인이 고르지 않아

고민인 분들을 위해 설계된 맞춤형 미소 개선 치료입니다.

치아가 짧게 보이거나 잇몸 착색으로 자신 있게 웃지 못하는 분들도,

자연스러운 균형과 조화를 고려한 절제술로 이상적인 잇몸 라인을 완성할 수 있습니다.

잇몸교정 치료

누구에게 필요한 잇몸성형일까요?

스마일 라인 불균형
01

웃을 때 잇몸이 많이 보여
자신감이 떨어지는 '스마일 라인 불균형'

좌우 잇몸 높이 불균형
02

좌우 잇몸 높이가 달라
미소가 어색하게 느껴지는 경우

치아 길이가 짧은 경우
03

치아 길이가 상대적으로 짧아 보이는 분

잇몸 색소 침착
04

잇몸 색소 침착으로
미소가 어둡게 보이는 분

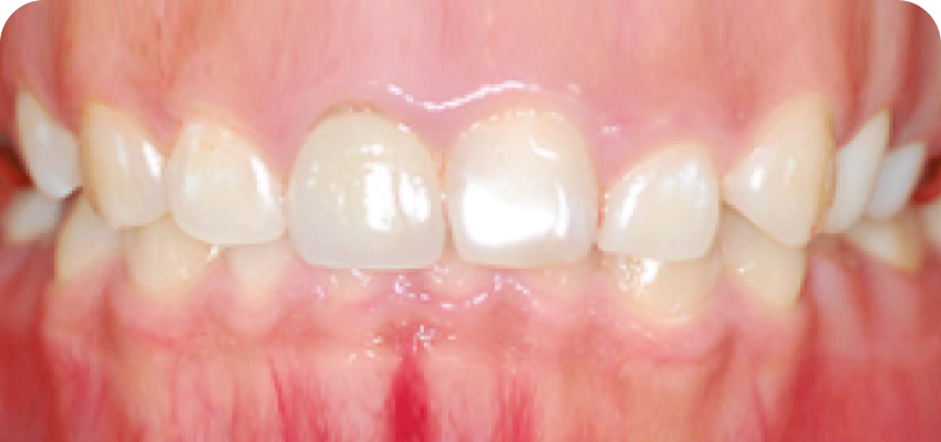
엠치과 잇몸성형 치료사례

잇몸성형 전후 비교

*모든 치료에는 부작용이 발생할 수 있습니다.

간편 상담 예약
042-671-2875