치과소개
M치과
의료진 소개
인증 및 수상
진료안내
M 특별함
왜 우리여야 하나?
시니어는 왜 M치과인가
시니어핏 케어 관리
첨단 디지털 장비& 기공소
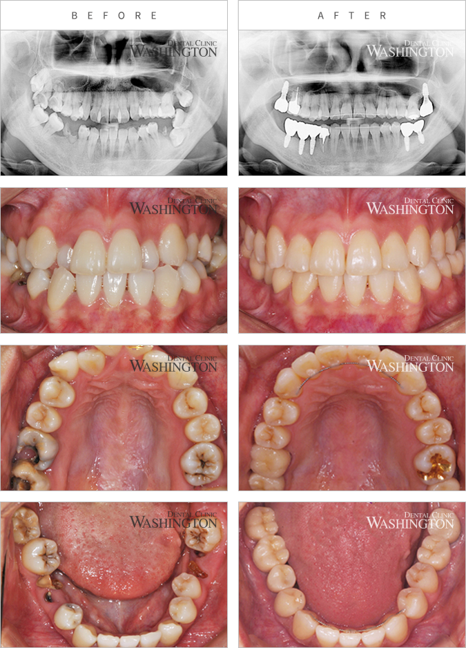
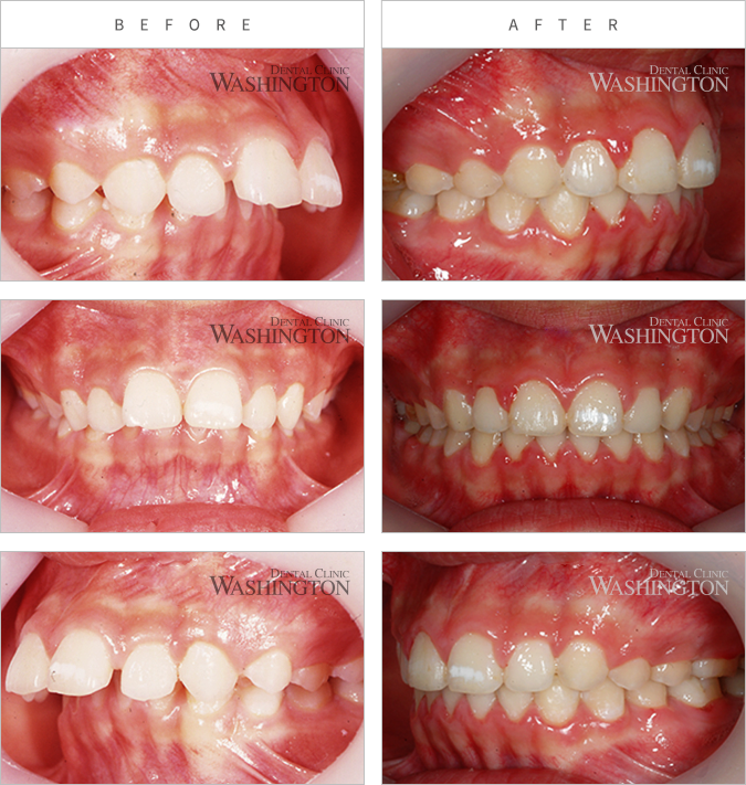
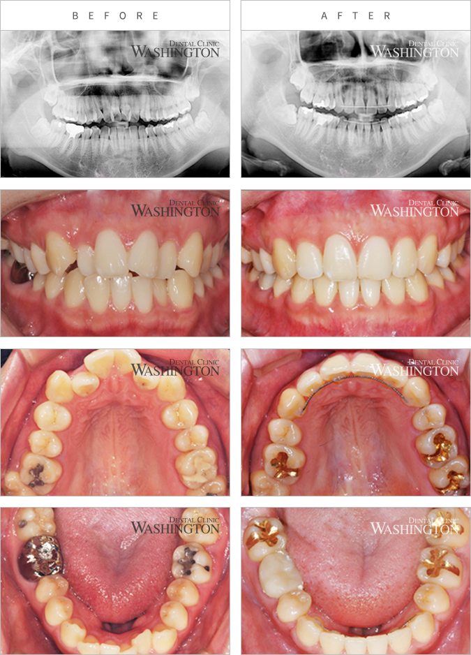
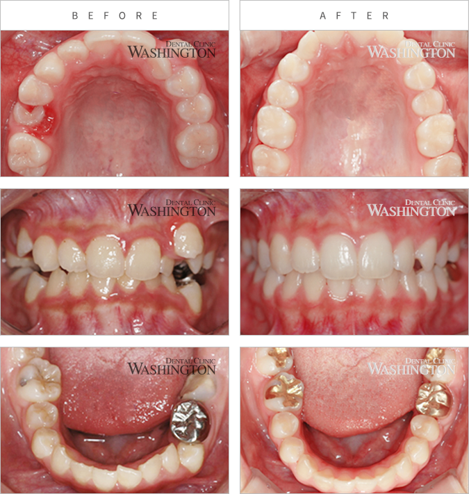
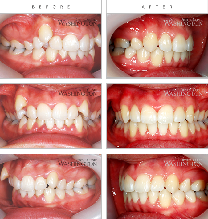
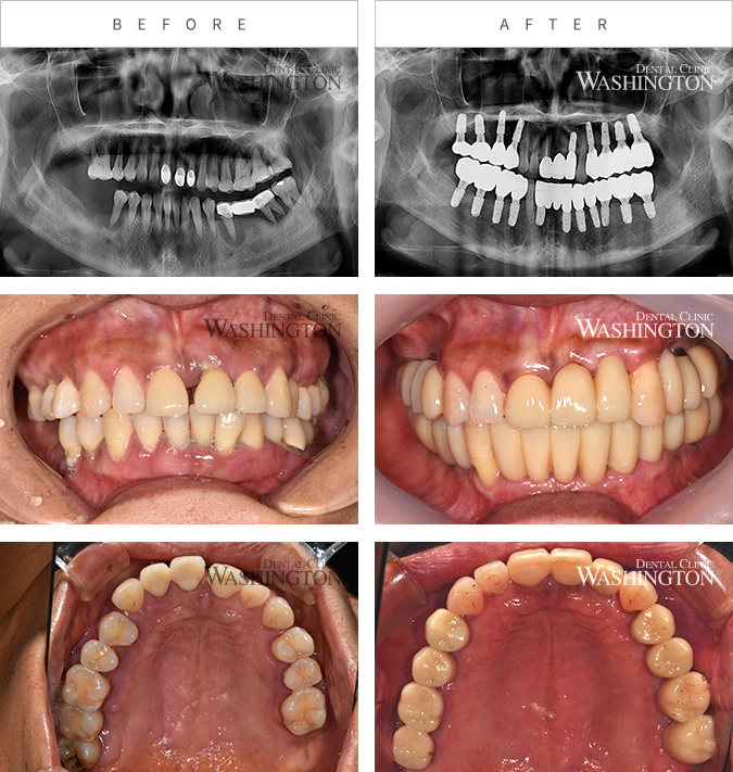
시술 전후 사진
임플란트
M치과만의 임플란트
심미임플란트
뼈이식임플란트
전악임플란트
컴퓨터 분석 임플란트
임플란트 FAQ
전체 임플란트
임플란트 틀니
건강보험
치료과정
심미클리닉
M치과만의 심미클리닉
치아미백
심미보철
잇몸교정
덴탈케어
잇몸질환
충치치료
치조골이식
어린이치과
사랑니발치
턱관절치료
커뮤니티
공지사항
언론보도/사회공헌
치료후기
온라인상담
치과소개
M치과
의료진 소개
진료안내
M 특별함
시니어는 왜 M치과인가
시니어핏 케어 관리
임플란트
M치과만의 임플란트
뼈이식임플란트
전체 임플란트
임플란트 틀니
심미클리닉
치아미백
잇몸교정
덴탈케어
충치치료
사랑니발치
커뮤니티
공지사항
전화 상담
042-671-2875
M DENTAL CLINIC
M치과
/ 시술 전후
임플란트
치아교정
심미클리닉
충치/신경치료
간편 상담 예약
042-671-2875
개인정보 수집 및 이용에 관한 사항에 동의합니다.
상담신청